山形市馬見ヶ崎の歯医者・歯科医院、あきらデンタル・クリニックです。
今回は前回の記事に引き続き第2弾として『ヒューマンブリッジ』に関しての説明と治療例、費用などに関してご紹介したいと思います。
ヒューマンブリッジとメンテナンス
当院では、様々な治療後と同じように『ヒューマンブリッジ』を選択された患者様には、適切なメンテナンスを受けていただくようご指導しております。
ブリッジは、適切なケアを行えば、可及的にその機能と美しさを長く維持することが可能となります。
そのためには支台となる歯をむし歯、歯周病から守ることが必須です。
ご自宅でのセルフケアの方法をご指導させていただきます。
ブリッジの長持ちと、周囲の歯や歯肉の健康を維持するために、定期的なチェックアップと専門的なクリーニングをご受診ください。
こうしたメンテナンスは、長期的に見て費用体効果が高く、初期投資以上の価値を患者様にもたらす可能性がございます。
ヒューマンブリッジのカスタマイズと患者様への配慮
『ヒューマンブリッジ』は、ただ単に歯を削って被せること終始したこれまでの治療方法とは全く異なります。
それは美しい笑顔を取り戻せることは勿論、長期的な口腔健康への投資とも言えるのです。
あきらデンタル・クリニックでは、高品質なヒューマンブリッジの提供を心掛けており、その価格は素材と技術によって異なります。
各治療との比較
✫それではここで『ヒューマンブリッジ』の理解をより深めるため、従来型の「インプラント治療」「ブリッジ治療」「入れ歯治療」との比較を以下ご提示します。

1⃣インプラント治療のデメリット
デメリット:基礎疾患があり手術が適応できない場合がある
2⃣ブリッジ治療の実際のメリット・デメリット
メリット:保険適応
デメリット:削る量が大きくなる・生活歯の場合麻酔をする必要がある
3⃣入れ歯治療のデメリット
デメリット:レストと言われるバネの支えからのむし歯になる可能性がある
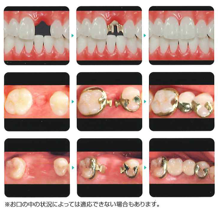
『ヒューマンブリッジ』治療の流れ

1.模型の設計に応じて隣あった歯に「レスト座の形成」や「グルーブ付与」を行い必要最小限に削合に留めます。
2.必要なパーツ→「key&keyway」を接着剤で着けます。
3.パーツ→「key&keyway」が入った状態です。
4.「ポンティック」と呼ばれる人工歯を接着剤にて着けます。噛み合わせの確認を行い終了となります。
注意…欠損の歯が1歯~2歯までが現在のところ対応可能となります。
また、①部分被せ物が既に入っている②1本が既にフルクラウン(大きな被せ物)になっている③根っこを分割して使用する(分割抜歯)など当院では様々な症例に対応しております。
上記は口腔内診査のもと、レントゲンや模型の嚙み合わせなどにより設計や補綴物(被せ物)に違いが生じます。
『ヒューマンブリッジ』治療例

当院におけるヒューマンブリッジの費用
ヒューマンブリッジには様々な種類があり、お口の中の状態により費用に差が生じます。
- むし歯が無い状態の歯
- むし歯が存在する状態の歯
- 隣り合う歯の片方が既に削られ部分被せ物が入っている状態
- 隣り合う歯の片方が既に削られ全部被せ物が入っている状態
- 根っこが病気で分割抜歯を要する歯が存在する
などにより料金体系が変わってきますが…
当院では
基本設計~形成~被せ物セットの場合
標準的な『陶材ヒューマンブリッジ』は、自然な見た目を重視し、口腔内に馴染む設計が特徴です。
こちらの費用は【360,000円(本体価格)】からとなっております。
陶材を用いたこれまでのスタンダードな設計ですが、多くの患者様に選ばれています。
より強度と審美性を追求した『ジルコニアヒューマンブリッジ』は未だ講師の先生ですら臨床例は少ないようです。
しかし、噛み合わせに問題がありこれまでの被せ物が壊れやすい患者様には是非適応していきたい選択肢です。
当院でもこれまでの実績が認められジルコニアの症例も最近提供できるようになりました。
このオプションでは、【400,000円(本体価格)】からの治療が可能です。
ジルコニアは耐久性に優れ、また光を自然な歯と同じように反射するため、より自然な見た目を実現します。
まとめ
最後に、山形市馬見ヶ崎の歯医者・歯科医院、あきらデンタル・クリニックの究極の目標は現在ある歯を「可能な限り削らず・長く持たせる」ことです。
「歯をなるべく削らない治療」や「歯をなるべく抜かない矯正治療」の両輪は何れも患者さんの末永い健康維持に貢献したいとために掲げて実践している内容です。
『ヒューマンブリッジ』は「なるべく歯を削らない治療」に属しております。
大変価値のある治療であると自負しております。
美しい笑顔と健康な噛み合わせは、人生の質を高め、自信をもたらします。
費用に関する透明性と、保険適用外の治療の価値を十分に理解した上で、患者様一人ひとりに合ったベストなオプションをご提供することに全力を尽くしております。
より詳しい情報をお伝えするために、必ずレントゲンの状態・歯周病の状態や口腔内の状態を把握した上で各々の『ヒューマンブリッジ』についてお話し申し上げます。
そのため相談やお見積もりはその場で安易には出せないのが欠点ですが、残念ながら喪失した歯の部分をどうしてよいか迷っている方や従来型の治療「ブリッジ」「入れ歯」「インプラント」に疑問や不安のある方は是非ご相談下さい。
この治療法は「レスト」「グルーブ」の形成を行う~いっけん簡単のように思うかもしれませんが、口腔内の唾液・舌・歯の傾斜などが存在するため慣れない術者には到底簡単にできる処置ではありません。
また完成品のセットに伴い、十分な模型での練習やこれまでの経験は非常に重要な要素です。症例にもより時に大変難しい手技になります。当院では2015年にセミナーを受講し、練習を重ね同年より臨床導入し様々な症例を経験し現在に至っております。あなたの笑顔のために、最適な治療方法を一緒に考えましょう。尚、第3弾は当院の治療例を中心にお届けする予定です…
平成10年12月5日に開業のあきらデンタル・クリニック院長の隠明寺 亮(おんみょうじ あきら)です。