審美歯科とは?
審美歯科とは、本来の自然な歯のような白さや機能を回復するための歯科治療です。セラミックを使用したかぶせものや詰め物の材質により、天然歯に近い状態に回復することもできます。特に保険適用外のかぶせものや詰め物の中には、天然歯とほとんどかわらない物もあり、ご予算や症状により様々な種類があります。治療の際には患者様の状態にあわせ適切なものを、ご提案しております。是非お気軽にご相談くださいませ。また、下記では各種審美歯科の特徴を解説しております。是非ご覧くださいませ。
審美歯科とは、本来の自然な歯のような白さや機能を回復するための歯科治療です。セラミックを使用したかぶせものや詰め物の材質により、天然歯に近い状態に回復することもできます。特に保険適用外のかぶせものや詰め物の中には、天然歯とほとんどかわらない物もあり、ご予算や症状により様々な種類があります。治療の際には患者様の状態にあわせ適切なものを、ご提案しております。是非お気軽にご相談くださいませ。また、下記では各種審美歯科の特徴を解説しております。是非ご覧くださいませ。

以前「芸能人は歯が命」などというキャッチフレーズを聞いたことがあると思います。
アメリカでは、たばこを吸う人もしくは歯並びが悪い、歯が汚いと出世できないなどと言われております。
最近は芸能人だけでなく、一般の人も歯の重要性や見た目の美しさへの関心が高まり、審美治療に関しては注目されるようになってきております・・・。






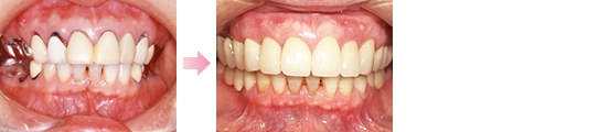
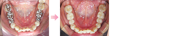
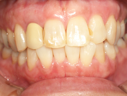
症例1 ・・・約10年間ほとんど変化ありません。

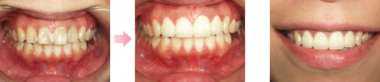
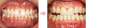
症例2 ・・・来院回数2回で、下の歯2から2を、講演10日後に控えた患者様からのご要望にお答えしました・・・。

一日で行っております。歯は削っておりません・・・。
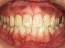
症例1


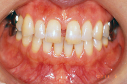
症例1 ・・・禁煙後レーザー治療を行いました。後にホワイトニングを含めた審美治療を行います。


「オペレーザー03S2」という炭酸ガスレーザー機器による最先端の歯科治療を導入しております。今までの「歯医者は痛い」のイメージをくつがえす安全かつ痛みの少ない画期的な治療が可能となりました。
レーザー治療なら多くの場合は麻酔が必要なく、出血もほとんどなく傷あとも残りにくい他、治りも早く、治療後の痛みもほとんどありません。

オールセラミックス(ジルコニア)110,000円~132,000円(税込)
金属を使わないセラミックスだけでできたかぶせものです。より自然な色あいと形を再現します。永年の使用にも変色せず、健康的な白い歯の輝きで天然歯の美しさを保ちます。
| みための自然さ | ★★★ |
|---|---|
| 快適さ | ★★★ |
| 変色しにくさ | ★★★ |
| 磨り減りにくさ | ★★★ |
| 体に優しい | ★★★ |
| 材質 | ファインセラミックス |
| 治療できる歯 | 前歯・奥歯 |

オールセラミックス60,500円~(税込)
金属を使わないセラミックスだけでできたつめものです。より自然な色あいと形を再現します。永年の使用にも変色せず、健康的な白い歯の輝きで天然歯の美しさを保ちます。
| みための自然さ | ★★★ |
|---|---|
| 快適さ | ★★★ |
| 変色しにくさ | ★★★ |
| 磨り減りにくさ | ★★★ |
| 体に優しい | ★★★ |
| 材質 | ファインセラミックス |
| 治療できる歯 | 前歯・奥歯 |

ラミネートベニア オールセラミックス110,000円(税込)
できるだけ歯を削らずにセラミックスの薄片を歯の表面に貼りつけます。生まれつき歯が変色していたり、歯が欠けたという悩みを解消します。より自然な色あいと形を再現し、永年の使用にも変色せず、健康的な白い歯の輝きで天然歯の美しさを保ちます。
| みための自然さ | ★★★ |
|---|---|
| 快適さ | ★★★ |
| 変色しにくさ | ★★★ |
| 磨り減りにくさ | ★★★ |
| 体に優しい | ★★★ |
| 材質 | ファインセラミックス |
| 治療できる歯 | 前歯 |

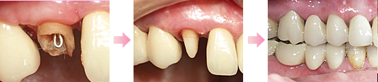
電鋳メタルボンド110,000円(税込)
メッキの技術を応用して、より精密なかぶせものを純金で作り、その上からセラミックスを焼き付けています。金属部分が純金ですから、歯茎との境目に気になる黒ずみが出にくく、明るく仕上がります。
| みための自然さ | ★★★ |
|---|---|
| 快適さ | ★★★ |
| 変色しにくさ | ★★★ |
| 磨り減りにくさ | ★★★ |
| 体に優しい | ★★★ |
| 材質 | セラミックス+純金 |
| 治療できる歯 | 前歯・奥歯 |

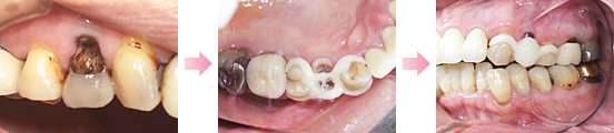
メタルボンド110,000円~(税込)
金属の上にセラミックを焼き付けたもので、強度に優れ保険のプラスチックのかぶせものとは異なり、磨り減らず、変色もありません。
| みための自然さ | ★★★ |
|---|---|
| 快適さ | ★★★ |
| 変色しにくさ | ★★★ |
| 磨り減りにくさ | ★★★ |
| 体に優しい | ★★ |
| 材質 | セラミックス+純金 |
| 治療できる歯 | 前歯・奥歯 |

ゴールドクラウン※種類により価格がかわります。詳しくは医院にてご相談ください。
金合金で作られています。金合金はしなやかで歯との適合性もよく、天然歯に近い硬さで噛み合う歯を痛めませんし、歯茎との境目も黒くなりません。噛む力の強い奥歯での使用に向いています。
| みための自然さ | ★★ |
|---|---|
| 快適さ | ★★★ |
| 変色しにくさ | ★★★ |
| 磨り減りにくさ | ★★★ |
| 体に優しい | ★★★ |
| 材質 | 高カラット金合金 |
| 治療できる歯 | 前歯・奥歯 |

ゴールドインレー※種類により価格がかわります。詳しくは医院にてご相談ください。
金合金で作られています。金合金はしなやかで歯との適合性もよく、天然歯に近い硬さで噛み合う歯を痛めませんし、歯茎との境目も黒くなりません。噛む力の強い奥歯での使用に向いています。
| みための自然さ | ★★ |
|---|---|
| 快適さ | ★★★ |
| 変色しにくさ | ★★★ |
| 磨り減りにくさ | ★★★ |
| 体に優しい | ★★★ |
| 材質 | 高カラット金合金 |
| 治療できる歯 | 前歯・奥歯 |

ファイバーコア前27,500円~38,5000円(税込)
小、大臼歯22,000円~(税込)
天然歯と同じ位の硬さで、弾力性のあるグラスファイバーを使用した土台のため、歯根を破折から守ってくれます。また、金属アレルギーの心配もなく、光が透過するので、オールセラミックスと組み合わせて使用することにより、透明感のあるより天然歯に近い色調を再現します。
| みための自然さ | ★★★ |
|---|---|
| 快適さ | ★★★ |
| 変色しにくさ | ★★★ |
| 磨り減りにくさ | – |
| 体に優しい | ★★★ |
| 材質 | 高カラット金合金 |
| 治療できる歯 | 前歯・奥歯 |
| 項目名 | 項目の説明 | 料金 |
|---|---|---|
| e-max | 審美性と耐久性を兼ね備えたオールセラミックです。 | 121,000円 (税込) |
| メラニン色素除去 | 片顎通常 | 22,000円~ (税込) |
| 保険適用外充填(グラディア) | 一歯につき | 22,000円~ (税込) |
正常な咬み合わせができあがっていくための障害となる要素があった場合、それを取り除き自律的に永久歯列が完成するような口腔環境をつくる考えを基にしております。
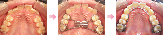
可撤性の装置(取り外し可能)や部分的なワイヤー治療にて、比較的負担の少ない装置での治療となります。
治療期間は1年~3年くらい、または小学校6年~中学1年くらいまでが目安になります。
正常な永久歯列を完成することを目的としております。術後の経過観察を行い治療完了となり、その後再び矯正治療の可能性が少ないと言えます。
永久歯の抜歯が必要な症例などは本格矯正の考えの治療と言えます。
※当院での定期的なメインテナンスを受けていただく患者様のみに実施しております。
| 項目名 | 項目の説明 | 料金 |
|---|---|---|
| 資料採得 | 27,500円(税込) | |
| 月額チェック料金 | 一ヶ月分 | 5,500円~(税込) |
※チェック料金は、はじめ安定するまでの期間は毎月発生しますが、 以降は2~3ヶ月に1度位が目安となります。
| 項目名 | 項目の説明 | 料金 |
|---|---|---|
| 資料採得 | 44,000円(税込) | |
| 施術料金 | 前期 | 275,000円~(税込) |
| 施術料金 | 後期 | 275,000円~(税込) |
| 成人矯正全顎症例 | 495,000円~(税込) | |
| 最終的な審美治療を含めた補綴前処置の矯正治療の場合 | 片顎 | 165,000円~(税込) |
| チェック料金 | 5,500円~(税込) |
その他、主に夜間就寝時にマウスピースを使用して行う矯正治療のご相談も承ります。





このままの状態では保存が難しい、または無理に治療しても予後に影響のでるような歯があります。
現在の詳しい状態をレントゲンやスライドお写真にて説明して、了解が得られた場合以下のような治療を行う場合があります。
など
| 項目名 | 項目の説明 | 料金 |
|---|---|---|
| 施術料金 | 1本 | 66,000円~ (税込) |
| ホワイトクラスプ加算 | 22,000円~ (税込) |
|
| 月額チェック料金 | 一ヶ月 | 5,500円 (税込) |
症例にもよりますが3~6ヶ月くらいが治療の目安になります。
補綴物は別途料金が発生いたしますので、あらかじめご了承ください。





・矯正中舌の動きがスムーズにいかない場合がありますが、数ヶ月で慣れる場合が多いです。
・装置の装着中は発音しづらいことがあります。
・一般的なワイヤー矯正は、歯の表面に器具を装着するため、目立ちます。見た目にも矯正をしていることがわかるというリスクがあります。
・矯正治療中に装置が当たることで頬の内側に傷がついたり、口内炎になったり、歯の移動に伴う痛みを感じることもありますので、必要に応じワックスで対処する場合やその他の対処策を行う場合があります。
・矯正装置を装着した直後や、ワイヤーを交換した直後に痛みを感じることがありますが、数日でおさまる場合が多いです。また、冷たいものを飲んだときにしみる「知覚過敏」があらわれる場合がありますが、数日で改善されます。長期間痛む場合は、歯科医師に相談しましょう。
・矯正装置には、さまざまな金属素材が使用されているため、金属アレルギーのある方、不安がある方は、皮膚科で行われているパッチテストをうけて、アレルギー材料を特定し、歯科医師に伝えてください。矯正装置を装着したあとに、皮膚や口腔の粘膜にアレルギー症状が起きた場合は、速やかに歯科医師の指示を仰いでください。
・矯正をしたい箇所に十分なスペースがない場合は、抜歯を必要とする場合もあります。健康上問題のない歯の抜歯の場合もあります。
・抜歯する場合は麻酔注射を行います。麻酔の中には、成分に心拍数、血圧を上げる作用があるものもあるため、心臓や血圧に問題がある方が使用すると、動悸、血圧上昇を起こす場合があります。また、頬を噛んでもわからなかったり、熱いものを飲んでもわからないため、口腔内を傷つけるリスクがあります。さらに、麻酔によって悪心、嘔吐、アレルギー反応が起こることもあります。
・矯正中、虫歯が悪化する場合があります。治療終了後に虫歯の治療をする場合と器具を一度外して虫歯の治療を行う場合があります。
・矯正治療中、矯正装置の周りなど、ブラッシング(歯磨き)しにくい部分ができるため、虫歯や歯周炎のリスクが高くなります。間食を控え、矯正治療中に合ったブラッシング指導を歯科医師より受けて 、毎日丁寧なブラッシング、歯を清潔にしてリスクを抑えましょう。また、歯科医院で歯をクリーニングすることや、フッ素塗布など、歯科医院でのケアも役立ちます。
・矯正中は、基本的に虫歯や歯周病の治療が行えないため、矯正前にこれらの治療を終わらせる必要があります。矯正専門の歯科の場合は、一般の歯科で虫歯、歯周病の治療を行う必要もあります。
・矯正終了後に矯正箇所が元に戻る場合もあります。
・矯正終了して数か月から数年経過するとかみ合わせが悪くなる可能性があります。かみ合わせが悪くなると、咀嚼障害、頭痛、肩こりを招く事があります。また、かみ合わせのバランスが崩れることで、口が大きく開かない、食事を噛むときに痛みが出る顎関節症を発症する場合があります。他にも自律神経失調症になることもあります。かみ合わせが原因の場合は、かみ合わせの治療を行います。
・矯正中、頭痛、首や肩のこり、強い倦怠感、吐き気、不眠など不定愁訴が起こる場合がありますので、鎮痛剤、吐き気止め等、歯科医師の指示のもと服用する場合があります。
・治療中と治療後の見た目に個人差が大きくあらわれる治療です。また、歯科医師との見解の相違も起こりえます。歯科医師とよくご相談ください。
・矯正力が強すぎると、歯の根が短くなる「歯根吸収」が起こるリスクが高くなります。
・歯や骨の状態、歯の動きを妨げる癖があった場合、虫歯や歯周病の発生など、治療計画よりも治療期間が長くなる場合があります。
・矯正治療では、歯肉が下がる場合(歯肉退縮)があります。特に切歯(せっし:上下前歯各4本)、歯の凸凹が大きい患者様の場合、発症する事があります。
・個人差により治療期間が数年かかることがあります。
・固いものが一時的に噛めなくなります。また、ガムや餅など、装置に引っかかるものが食べられなくなることもあります。
・装置が壊れることがあります。その際は歯科医院を受診してください。
・個人差があり、かなりのストレスを受ける患者さんもいます。
・矯正中は、器具を装着するため、食べかすが詰まりやすく虫歯、歯周病を招きやすくなります。(矯正器具をつけている箇所の虫歯治療は、基本的に矯正終了まで治療できません。)
・虫歯や歯周炎が発生すると一旦、装置を取り外して歯科医院で治療をする場合もあります。 ・患者様が、取り外しできる矯正装置や補助装置の装着時間を守っていなかったり、定期的な来院ができなかった場合は、治療期間が延びる場合があります。
・特殊な噛み合わせ、骨の硬さ、歯のかたちの場合は、治療期間が長くなる場合があります。
・舌で歯を押す癖や、歯並びに悪影響をあたえる癖が改善されない方は、治療期間が延びる場合があります。
・矯正治療で歯を動かして歯並びを整える「動的治療」を終えて歯並びが改善されても、まだ歯が元の位置に戻ろうとする傾向があるため、一定期間動かした歯をとどめておく保定が必要です。歯の位置が安定するまでの保定期間には個人差があるので、治療後も歯科医師の指示を守ってください。
・矯正終了後に矯正箇所が元に戻る場合もあります。
| 診療時間 | 月 | 火 | 水 | 木 | 金 | 土 | 日・祝 |
|---|---|---|---|---|---|---|---|
| 9:00~12:30 | ○ | ○ | ○ | ○ | / | △ | / |
| 14:00~18:00 | ○ | ○ | ○ | ○ | / | △ | / |
土曜日は9:00~13:00 / 14:00~16:00
【休診日】日曜日・祝日・金曜日・学会参加日
※祝日のある週は金曜日も診療いたします。
※2回目以降のご予約はお電話からお願いいたします