義歯入れ歯とは?
虫歯などの原因で複数の歯を失ってしまった際に、歯の無いところを補う取り外しタイプの物をいいます。入れ歯には大きく分けて、総入れ歯(総義歯)と部分入れ歯(部分床義歯)があります。
入れ歯は保険治療ではプラスチックのものしか選ぶことはできません。
プラスチックの入れ歯は、噛む機能には全く問題ありませんが自費入れ歯に比べると、快適さや食べ物の味わいで劣る部分があります。自費治療の入れ歯は、様々な材料があり、より快適で体に優しいものがあります。
虫歯などの原因で複数の歯を失ってしまった際に、歯の無いところを補う取り外しタイプの物をいいます。入れ歯には大きく分けて、総入れ歯(総義歯)と部分入れ歯(部分床義歯)があります。
入れ歯は保険治療ではプラスチックのものしか選ぶことはできません。
プラスチックの入れ歯は、噛む機能には全く問題ありませんが自費入れ歯に比べると、快適さや食べ物の味わいで劣る部分があります。自費治療の入れ歯は、様々な材料があり、より快適で体に優しいものがあります。
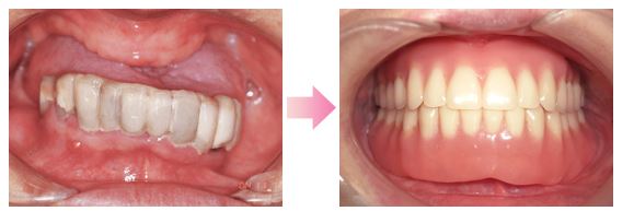
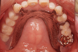
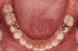
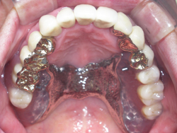
解説:先ず下の前歯歯牙移植を含めた、根管治療や外科処置を行いながら、仮の入れ歯で咬み合わせの高さや位置を整えました。
その後、「何でも噛める入れ歯」を作製しております。下顎の残存歯はマグネットデンチャーを組み合わせた形としました・・・。
いつも笑顔で元気なH様の笑顔にスタッフ一同いつも癒されております。
いつもありがとうございます。

初診時


義歯装着前


義歯装着後


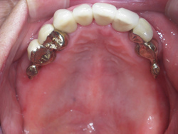
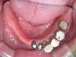
ほんとうに長い期間(ご家庭でのご不幸などを乗り越えられて・・・)遠方より当院を信用され、通院していただきまして誠にありがとうございました。Y様の義歯を作製する際、口元の参考のため20代頃のお写真を拝見いたしました。ほんとうにお美しく、まるで例えるなら東映のお姫様女優のようでした。(少し古い表現でしょうか)
この笑顔、口元を取り戻せるように、歯周治療や矯正治療や外科処置にも長く時間を費やさせていただきました・・・。
Y様の優しさといつもいただく穏やかな笑顔をスタッフ一同いつも見習いたいと思っております。
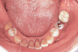
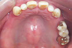
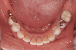
初診時


義歯装着前


義歯装着後




純チタン・チタン合金495,000円~(税込)
チタンは体内に埋め込むことができるほど安全性の高い金属で、口の中では金属味がほとんどありません。金に近い硬さの純チタンとプラチナに近い硬さのチタン合金があり用途に応じて使い分けをします。
| 丈夫さ | ★★★ |
|---|---|
| 快適さ | ★★★ |
| 熱の伝わり | ★★ |
| 体への優しさ | ★★★ |
| 食べ物の味わい | ★★★ |
| 診療時間 | ★★★ |
| 軽さ | ★★★ |
| トータル評価 | ★★★ |

コバルトクローム合金280,000円~(税込)
永く入れ歯用材料として使用され、信頼性も実績も高い材料です。エコノミータイプは金属床の基本的な良さを活かしたお求めやすい入れ歯です。部分入れ歯も基本的な良さを活かしつつも、歯にかかるバネのデザインを限定するなどして、同じくお求めやすい入れ歯になっています。
| 丈夫さ | ★★★ |
|---|---|
| 快適さ | ★★★ |
| 熱の伝わり | ★★ |
| 体への優しさ | ★★ |
| 食べ物の味わい | ★★ |
| 診療時間 | ★★ |
| 軽さ | ★★ |
| トータル評価 | ★★ |
| 項目名 | 項目の説明 | 料金 |
|---|---|---|
| O.P.Aアタッチメント | 286,000円~ (税込) |
|
| ミニアタッチメント | 220,000円~ (税込) |
|
| ノンスクラプデンチャー | 165,000円~ (税込) |
|
| コーヌス・クローネ | 330,000円~ (税込) |
|
| 磁性アタッチメント | 302,500円~ (税込) |
|
| ホワイトスクラブ | 一歯 | 55,000円~ (税込) |
| 診療時間 | 月 | 火 | 水 | 木 | 金 | 土 | 日・祝 |
|---|---|---|---|---|---|---|---|
| 9:00~12:30 | ○ | ○ | ○ | ○ | / | △ | / |
| 14:00~18:00 | ○ | ○ | ○ | ○ | / | △ | / |
土曜日は9:00~13:00 / 14:00~16:00
【休診日】日曜日・祝日・金曜日・学会参加日
※祝日のある週は金曜日も診療いたします。
※2回目以降のご予約はお電話からお願いいたします