山形市馬見ヶ崎の歯医者・歯科医院 | あきらデンタル・クリニック | 矯正治療
- HOME
- 山形市馬見ヶ崎の歯医者・歯科医院 | あきらデンタル・クリニック | 矯正治療
まずは矯正歯科の動画を
ご覧ください
矯正歯科について
こんなことでお悩みありませんか?
- 子どもの歯並び、いつから矯正をはじめて良いかわからない…
- キレイにするだけの矯正に不安がある…
- 「永久歯が生え揃うまで待ちましょう!」と言われるが不安だ…
- 矯正治療を子どものころに行ったが、後戻りがあり何とかしたい…
- 針金のような目立つ矯正(ワイヤー矯正)には抵抗がある…
- 矯正専門医の話を聞くがピンとこない…
- 嚙み合わせが悪いと身体に影響があるのか知りたい…
- 私の年齢からでも矯正ができるのであればその方法を知りたい…

- SH療法(顎拡大療法)を始めとする、「抜歯しない!」をコンセプトに矯正治療を行っております。
- いつから始めてよいか分かりづらい、小児の矯正のアドバイスを的確に行います。
- 特にお子様の健全な永久歯の萌出を促すような矯正治療の力を入れております。
- ほとんどが取り外しの装置で、他人に気が付かれません。
- 後戻りが生じにくいような治療をご提案します。
- 根っこの吸収などが生じにくい治療方法をご提案します。
- 月70~80名の矯正の患者様が来院します。
こどもの歯並び矯正法
こどもの歯並び矯正法(プレオルソ)
あなたの大切なお子様の歯並びや噛み合わせが気になっているお母さん・お父さんへ。
乳歯が残っている時期(3~10歳)に主に備わっていない機能を(舌位置・嚥下・口唇閉鎖など)覚えるための矯正装置です。
弾性のある柔らかい上下一体化したマウスピースを使用します。
プレオルソの特徴
- 特徴1
- 弾性のある柔らかい素材なので子供が嫌がる痛みがほとんどありません。
- 特徴2
- 子どもが苦手な柔らかい粘土のようなもので歯型を取る必要がありません。
- 特徴3
- 学校に装置を持っていく必要がありません。
- 特徴4
- お母さんが気にしている口呼吸を鼻呼吸に促す装置です。
猫背のお子様(S字状)のほとんどが、口呼吸だそうです。 - 特徴5
- 装置の調整があまり必要でありません。ただし、何度かはステップごとに調整を行います。
- 特徴6
- 壊れる心配がほとんどありません。
この装置は年齢的には教科書的な言い方をすると1桁がベストだそうです。
注意!装置を使用しただけでは歯並びは治りません。
装置は筋肉の家庭教師であり、
①鼻で息をする
②正しい唾の飲みこみ、しゃべり方をする
③正しい姿勢をする
が重要になります!
日中1~2時間と夜間の就寝時にマウスピースを装着します。
日中は装置を着けたまま嚥下やおしゃべりの訓練を行い、
おしゃべりしない間は口を閉じる練習をします。(口呼吸から鼻呼吸へ)
ブラケットやワイヤーを使用しないので見た目が気になりません。
痛みがほとんどないので子どもさんは比較的早く慣れる装置です。
歯みがきがしっかりできるので虫歯になりにくくなります。

SH療法
SH療法(狭窄歯列拡大法=顎拡大療法)
現代は食生活や生活習慣の大きな変化により、長い年月を経て日本人の顎骨が変化してきました。
SH療法は、顎骨のマイナスの成長を本来であれば「その個人が成長するはずであった」場所まで、
誘導(装置により拡大)していく方法になります。
SH療法は、単なる顎の拡大や歯並びの改善を目指しているのではありません!!
審美的なことはもちろん重要ですが、大切なのは、歯並びや噛み合わせが関与する全身への影響を考えることです。
※SH療法は顎の拡大を基本とし、単なる歯列弓の拡大と歯牙の整理にとらわれることなく、
生体の正常性を観察しながら、皆様方のQOLの向上に寄与する方法と考えております!

顎の拡大(狭窄歯列拡大)により予防が期待できる疾患には、閉塞性睡眠時無呼吸障害、顎関節症、不定愁訴などが挙げられます。
SHA(SH療法で使用される装置について)ドイツと日本にて特許を取得したSlidexという弾性のバネを使用した新しい顎拡大装置です。
このSHAの取り扱いは、SHTA(Star Hill Therapy Association)会員のみが使用を許可されており、専門の技工部門(チーム)が行っております。
どこの医院、どこの技工所でも取り扱えることはできません。
あきらデンタル・クリニック院長は、毎月ほぼ定期的にSHTA主催のFUS(フォローアップセミナー)に参加し研鑽を積んでおります。
現在・台湾の歯科大学でも注目を集め、臨床応用されております!
SH療法で使用する装置=SHA(SHアプライアンス)

歯列弓の臼歯間幅径が狭いもの。
これには、臼歯が舌側に転位しているものと、顎骨自体が狭いものがある。
上顎では口蓋が深いものが多い。
(歯科矯正学 第4版 医師薬出版)
◎歯列の不正を伴う
◎上下顎骨の劣成長を伴う
◎口蓋幅の成長が少ない
◎歯列幅が狭い
◎低位舌を伴う
◎下顎が後方位

前歯の凸凹だけが問題なのでしょうか?

本来、この方が本来成長するはずであったところは上記のような上下顎のイメージになります!
顎が成長して(咀嚼や周囲の筋肉の調和などにより)歯が並ぶのに十分なスペースができさえすれば、乱れて生えてきた歯は自然に本来その歯が並ぶべき位置まで動いていってくれるという発想です。
SH療法の特徴
1日の使用時間は8時間~10時間です。(家で寝る時を含め)
また、取り外しの装置ですので学校や職場へ持参する必要はありません。
利点
- 装置の取り外しは自分で行える。
- 基本的に歯を抜かない(親知らずにおいては、治療とは関係なく抜歯が必要になる場合が考えられます)
- 他人に知られない。
- 後戻りが生じにくい
- 骨格が変わることにより、鼻の通りが改善されたり全身の不定愁訴が改善される症例もある。
欠点
- 本人のやる気の問題=装置をきちんと続けられるか?
- 装置を外している時重要性を把握できるか?
- ワイヤー矯正のように1日中装着して短期間で終了しない=時間が掛かる!
- ご家族の協力が不可欠
SH療法の特徴
顎が小さいものは、歯を顎のサイズ合わせて歯を並べていく。
歯を抜いて数を減らすことにより、スペースを作り並べていく。
という発想が一般的な矯正治療の考え方です。
SH療法は本来成長するはずであったところまで誘導(成長)していくという発想です。
歯を並べるのは、あなた方自身の生体で歯自身が居心地の良い場所へ動いていくという発想です。(また、装置を外している時間の方が長く、正しい咀嚼、姿勢などが大変重要になります)
※当院での「SH療法」に関してご興味がある方,前向きに検討したい方はご連絡の上、アポイントをお取りください。
審美治療や期間のことを優先にお考えの方は、矯正専門医への受診をおすすめいたします。
症例相談料金は5,500円(税込)、診断料金27,500円(税込)になります。
その他基本料金などの詳細は、年齢や症例により異なるため、お電話などによるお問い合わせには応じかねますので、予めご了承ください。
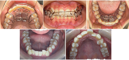
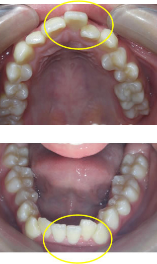
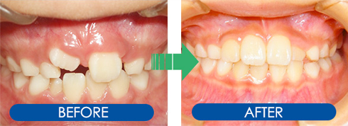
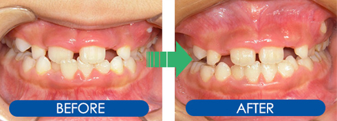
矯正治療のビフォーアフター
頑張って取り組んでいただいた子ども達の症例をご覧ください!
「プレオルソ」による治療法
開咬症例1

開咬症例2

過蓋咬合症例1

過蓋咬合症例2

叢生症例1


SH療法のよる治療法




症例により部分矯正も行っております!
奥歯や前歯の1~数歯の移動、MTM(マイナー トゥース ムーブメント)も行っております。
根っこだけしか残っておらず、どうしてもその歯を保存したい!
インプラントには抵抗がある方などは是非ご相談ください。
基本的には、歯を削ったり抜いたりしない方法を考えます。
基本料金
| 予防矯正(1期矯正) | 22~44万円(税込) |
|---|---|
| 2期矯正 | 33~77万円(税込) |
ご予約・お問い合わせ
| 診療時間 | 月 | 火 | 水 | 木 | 金 | 土 | 日・祝 |
|---|---|---|---|---|---|---|---|
| 9:00~12:30 | ○ | ○ | ○ | ○ | / | △ | / |
| 14:00~18:00 | ○ | ○ | ○ | ○ | / | △ | / |
土曜日は9:00~13:00 / 14:00~16:00
【休診日】日曜日・祝日・金曜日・学会参加日
※祝日のある週は金曜日も診療いたします。
※2回目以降のご予約はお電話からお願いいたします
